Warning: Trying to access array offset on value of type bool in /home/klient.dhosting.pl/exacto/exactoclinic.pl-aiy7/public_html/wp-content/plugins/elementor/includes/base/widget-base.php on line 224
Warning: Undefined array key -1 in /home/klient.dhosting.pl/exacto/exactoclinic.pl-aiy7/public_html/wp-content/plugins/elementor/includes/base/controls-stack.php on line 696
HIGIENIZACJA ZĘBÓW
Zabieg higienizacji w Exacto Stomatologia


Zabieg profesjonalnej higienizacji zębów w Exacto jest kompleksową procedurą profilaktyczną jamy ustnej i jednym z najlepszych prezentów, jakie możesz sobie podarować.
W naszej klinice zabiegi higienizacyjne wykonują doświadczone i dyplomowane higienistki stomatologiczne, które dokładnie oczyszczają jamę ustną oraz usuwają nagromadzoną płytkę nazębną i kamień.
Higienizacja zębów - wskazania
Na zabiegi higienizacyjne zapraszamy osoby w każdym wieku, które chcą utrzymać zęby i dziąsła w jak najlepszym stanie. Szczególnie rekomendujemy je osobom, które mają predyspozycje do nadmiernego odkładania się kamienia nazębnego oraz rozwoju próchnicy.
Zabieg higienizacji powinien być wykonywany regularnie co pół roku. W Exacto wierzymy, że lepiej zapobiegać niż leczyć, dlatego też po każdym zabiegu przeprowadzamy instruktaż higieny i podkreślamy, jak ważna jest regularność w wykonywaniu zabiegów. Brak systematyczności może bowiem skutkować rozwojem chorób dziąseł czy próchnicy, pogorszeniem ogólnego stanu zdrowia i wzmożonym ryzykiem infekcji i stanów zapalnych.

Higienizacja zębów - przeciwwskazania
Choć zabieg higienizacji jest bezpieczny i wykonywany rutynowo w gabinetach stomatologicznych, istnieją sytuacje, w których czyszczenie zębów powinno zostać odroczone lub przeprowadzone po wcześniejszej konsultacji lekarskiej.
Poniżej przedstawiamy najważniejsze przeciwwskazania do wykonania zabiegu:
- Ostre stany zapalne jamy ustnej – aktywne zapalenie dziąseł, ropnie, silny ból czy obrzęk tkanek miękkich mogą wymagać wcześniejszego leczenia, w takich przypadkach czyszczenie zębów może nasilić dolegliwości.
- Nieleczone choroby ogólnoustrojowe – niewyrównana cukrzyca, niekontrolowane nadciśnienie tętnicze czy zaburzenia krzepnięcia krwi mogą stanowić czasowe przeciwwskazanie do zabiegu.
- Świeżo przebyty zawał serca lub udar mózgu – w takich sytuacjach higienizacja zębów powinna być odroczona do czasu stabilizacji stanu zdrowia i uzyskania zgody lekarza prowadzącego.
- Zaawansowana opryszczka lub infekcje wirusowe – aktywne zmiany opryszczkowe w obrębie warg i jamy ustnej zwiększają ryzyko rozsiewu wirusa oraz dyskomfortu podczas zabiegu.
- Pierwszy trymestr ciąży (względne przeciwwskazanie) – choć higienizacja zębów jest bezpieczna w ciąży, w pierwszym trymestrze – jeśli nie ma pilnych wskazań – często zaleca się przełożenie zabiegu na drugi trymestr.
- Nadwrażliwość zębów w fazie ostrej – silna nadwrażliwość może powodować dyskomfort podczas usuwania kamienia nazębnego, warto najpierw wdrożyć leczenie wzmacniające szkliwo.
- Stan bezpośrednio po zabiegach chirurgicznych w jamie ustnej – po ekstrakcjach, implantacji czy zabiegach periodontologicznych czyszczenie zębów powinno być wykonane dopiero po wygojeniu tkanek.
Warto podkreślić, że większość przeciwwskazań ma charakter przejściowy. Ostateczną decyzję o wykonaniu zabiegu higienizacji zawsze podejmuje lekarz stomatolog lub higienistka po dokładnym wywiadzie medycznym i ocenie stanu zdrowia Pacjenta. Regularne czyszczenie zębów pozostaje jednym z najskuteczniejszych sposobów dbania o zdrowie jamy ustnej.
Higienizacja zębów w Exacto to wizyta w SPA dla uśmiechu
Regularne zabiegi higienizacyjne w Exacto pozwalają naszym pacjentom cieszyć się zdrowymi zębami przez długie lata i zauważalnie poprawiają wygląd zębów
i dziąseł. Systematycznie wykonywane zabiegi przyczyniają się również do:
- zapobiegania rozwojowi chorób dziąseł, próchnicy oraz paradontozy,
- zahamowania rozwoju bakterii,
- wzmocnienia szkliwa,
- poprawy estetyki uśmiechu.
Brushfitting — Profesjonalny dobór szczoteczki do zębów
Wielu Pacjentów nie zdaje sobie sprawy, jak duże znaczenie dla zdrowia jamy ustnej ma odpowiednio dobrana szczoteczka do zębów. Wybór pierwszej lepszej szczoteczki często nie tylko nie przynosi oczekiwanych efektów, ale może nawet prowadzić do podrażnień dziąseł, ścierania szkliwa czy niedokładnego oczyszczania zębów.
Dlatego w Exacto oferujemy usługę brushfittingu – profesjonalnego doboru szczoteczki dopasowanej indywidualnie do potrzeb Pacjenta. Podczas wizyty analizujemy m.in. stan dziąseł, budowę uzębienia, wrażliwość oraz nawyki higieniczne, aby dobrać rozwiązanie, które będzie najskuteczniejsze i jednocześnie bezpieczne.
Dzięki brushfittingowi Pacjent zyskuje nie tylko właściwe narzędzie do codziennej higieny, ale także wiedzę, jak prawidłowo dbać o zęby i dziąsła na co dzień. To niewielka zmiana, która może znacząco poprawić zdrowie jamy ustnej i zapobiec wielu problemom w przyszłości.
Usługę można umówić jako osobną wizytę lub skorzystać z niej bezpośrednio po profesjonalnej higienizacji w gabinecie, aby od razu wdrożyć najlepsze rozwiązania w codziennej pielęgnacji.

Czyszczenie zębów w Exacto - etapy zabiegu
W Exacto zwracamy szczególną uwagę na budowanie świadomości pacjentów na temat istotności profilaktyki
i systematycznego wykonywania zabiegów higienizacyjnych.
W naszej klinice higienizacja zębów składa się z czterech bardzo ważnych etapów, podczas których wykorzystujemy jedynie nowoczesne i profesjonalne urządzenia i materiały.
1
Skaling
wykonujemy go przy pomocy nowoczesnego i bezpiecznego ulradźwiękowego urządzenia do czyszczenia zębów, czyli skalera, dzięki któremu jesteśmy w stanie niezwykle precyzyjnie usunąć płytkę bakteryjną nawet w anatomicznie trudno dostępnych miejscach.
2
Piaskowanie
wykonujemy przy pomocy specjalnego aparatu, zwanego piaskarką stomatologiczną, która pozwala nam na dokładne i szybkie wyczyszczenie przestrzeni międzyzębowych.
3
Polerowanie (polishing)
w tym celu wykorzystujemy specjalistyczne i wysokiej jakości pasty polerskie, po użyciu których powierzchnia zębów jest przyjemnie gładka przez długi czas po zabiegu.
4
Fluoryzacja
ostatni etap, podczas którego pokrywamy powierzchnię zębów specjalnym preparatem o wysokiej zawartości fluoru, który skutecznie wzmacnia szkliwo.
Higienizacja zębów - jak wygląda zabieg?
Podobnie jak w przypadku innych zabiegów, proces czyszczenia zębów z kamienia i osadu rozpoczynamy od przeprowadzenia dokładnego wywiadu z Pacjentem.

Następnie przechodzimy do zabiegu higienizacji zębów, podczas którego każdorazowo używamy wysokiej jakości specjalistycznych sprzętów.
W trakcie skalingu używamy skalera ultradźwiękowego, który jest w stanie usunąć kamień nazębny w niezwykle delikatny i komfortowy dla pacjenta sposób. Piaskowanie wykonujemy przy pomocy piaskarki oraz specjalistycznego piasku o odpowiedniej strukturze. Do czyszczenia zębów w Exacto używamy tylko i wyłącznie sprawdzonego sprzętu renomowanych firm.
Podczas polerowania, używamy specjalistycznych gumek oraz szczoteczek polerskich. Cały zabieg wieńczy fluoryzacja kontaktowa, do której wykonania stosujemy żel, piankę, lub lakier o wysokiej zawartości fluoru. Wszystkie używane przez nas materiały są dokładnie przebadane i w pełni bezpieczne dla zdrowia naszych Pacjentów.
Proces higienizacji zazwyczaj trwa około 30-60 minut, w zależności od stopnia zanieczyszczenia zębów. Zalecamy pacjentom powtarzanie higienizacji co 6-12 miesięcy, aby utrzymać zdrowie jamy ustnej jak najdłużej. Całkowity koszt zabiegu oraz następującego po nim instruktażu higieny w naszej klinice waha się od 350 do 450 zł.
FAQ
najczęściej zadawane pytania i odpowiedzi
1. Jakie są zalecenia przed przystąpieniem do zabiegu higienizacji?
Przed przystąpieniem do zabiegu higienizacji zaleca się pacjentowi zjedzenie lekkiego posiłku oraz dokładne szczotkowanie zębów.
2. Jakie są zalecenia po zabiegu higienizacji?
Po wykonaniu zabiegu zaleca się unikanie spożywania pokarmów i napojów barwiących przez kilka godzin, aby zapobiec ponownemu pojawieniu się osadu na zębach.
3. Czy są jakieś przeciwskazania do zabiegu higienizacji?
Zabiegu higienizacji jamy ustnej zwykle nie wykonuje się w przypadku ostrych stanów zapalnych jamy ustnej, u osób z rozrusznikiem serca oraz osób, u których występuje opryszczka na wardze lub w jamie ustnej.
4. Czy zabieg higienizacji może być wykonany również u dzieci?
Tak, zabieg higienizacji może być wykonywany również u dzieci i może obejmować delikatne usuwanie płytki nazębnej i kamienia nazębnego, a także instruktaż dotyczący właściwej higieny jamy ustnej, w tym szczotkowania i nitkowania zębów.
5. Ile trwa higienizacja zębów?
Standardowy zabieg higienizacji trwa zazwyczaj od 45 do 60 minut. Czas zależy od ilości złogów oraz zakresu procedury.
6. Czy po higienizacji można jeść?
Tak, jednak jeśli wykonano fluoryzację, należy odczekać około 1–2 godzin. Przez pierwszą dobę warto stosować białą dietę po higienizacji.
7. Ile kosztuje czyszczenie zębów?
Koszt zależy od zakresu zabiegu oraz tego, czy obejmuje wyłącznie czyszczenie zębów z kamienia, czy pełną higienizację. Szczegóły znajdują się w cenniku gabinetu.
8. Czy warto stosować irygator do czyszczenia zębów?
Irygator do czyszczenia zębów jest dobrym uzupełnieniem codziennej higieny, szczególnie przy aparacie ortodontycznym, mostach czy implantach. Nie zastępuje jednak profesjonalnego czyszczenia zębów w gabinecie.
9. Czy czyszczenie zębów boli?
Zabieg może powodować niewielki dyskomfort, zwłaszcza przy nadwrażliwości lub dużej ilości kamienia, jednak nowoczesne ultradźwiękowe urządzenie do czyszczenia zębów pozwala przeprowadzić procedurę w sposób możliwie komfortowy dla Pacjenta.
Profesjonalne czyszczenie zębów — na czym polega zabieg higienizacji?
Profesjonalne czyszczenie zębów, czyli higienizacja zębów, to kompleksowy zabieg profilaktyczny wykonywany w gabinecie stomatologicznym. Obejmuje czyszczenie zębów z kamienia (skaling), usuwanie osadu (piaskowanie), a także polerowanie i fluoryzację. Zabieg higienizacji pozwala skutecznie usunąć złogi, których nie da się wyeliminować domowymi metodami ani przy użyciu urządzeń do czyszczenia zębów dostępnych na rynku.
Regularne czyszczenie zębów zmniejsza ryzyko próchnicy, zapalenia dziąseł oraz paradontozy, a także poprawia estetykę uśmiechu. Higienizacja zębów to podstawa profilaktyki — zarówno u osób dorosłych, jak i młodzieży.
Higienizacja zębów — efekty
Higienizacja zębów efekty przynosi widoczne niemal natychmiast po zabiegu. Zęby stają się wyraźnie gładsze, jaśniejsze i odzyskują naturalny połysk. Usunięcie kamienia nazębnego oraz osadu zmniejsza stan zapalny dziąseł i ogranicza krwawienie podczas szczotkowania. Profesjonalne czyszczenie zębów poprawia nie tylko estetykę uśmiechu, ale przede wszystkim zdrowie całej jamy ustnej.
Regularnie wykonywany zabieg higienizacji zapobiega rozwojowi chorób przyzębia oraz pozwala dłużej zachować naturalne zęby w dobrej kondycji



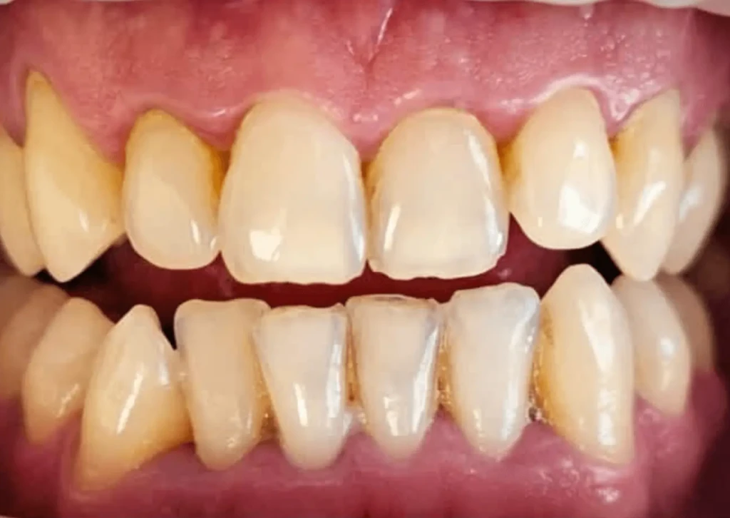
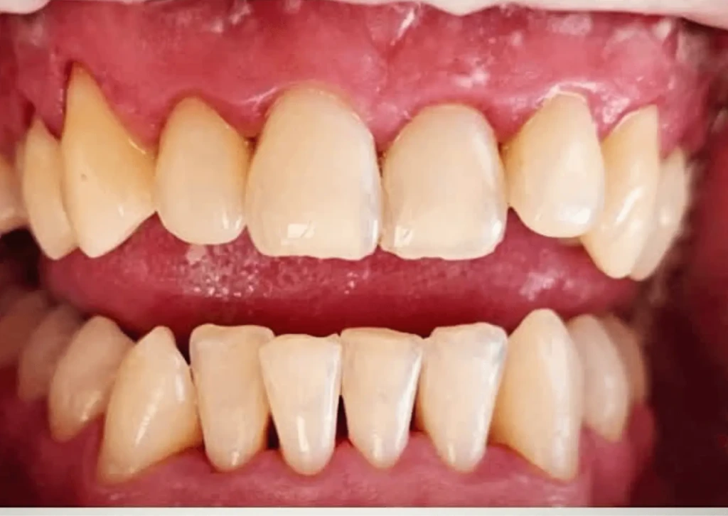
Higienizacja zębów przed i po
Efekty higienizacji zębów przed i po są najlepiej widoczne w okolicy szyjek zębowych oraz na powierzchniach stycznych.


Higienizacja zębów przy aparacie ortodontycznym
Higienizacja przy aparacie ortodontycznym jest szczególnie ważna, ponieważ zamki i łuki sprzyjają odkładaniu się płytki bakteryjnej. Czyszczenie zębów w trakcie leczenia ortodontycznego powinno być wykonywane regularnie, aby zapobiegać odwapnieniom szkliwa i stanom zapalnym dziąseł.
W takich przypadkach zabieg higienizacji często przeprowadza się częściej niż standardowo. Uzupełnieniem profilaktyki może być irygator do czyszczenia zębów, który pomaga usuwać resztki pokarmowe z trudno dostępnych miejsc.
Zalecenia po higienizacji zębów — czego nie jeść po czyszczeniu zębów?
Po wykonaniu zabiegu higienizacji szkliwo może być przez kilka godzin bardziej podatne na przebarwienia. Dlatego bardzo ważne jest przestrzeganie zaleceń po higienizacji zębów.
Czego nie jeść po czyszczeniu zębów?
- kawy i mocnej herbaty
- czerwonego wina
- buraków, jagód, aronii
- sosu sojowego i dań z intensywnymi przyprawami
- napojów typu cola
- nie palić papierosów
Często zalecana jest tzw. biała dieta po higienizacji, czyli spożywanie jasnych, niebarwiących produktów przez około 24 godziny.
W naszej klinice w zabiegach higienizacji specjalizują się:
Ile kosztuje higienizacja zębów?
Cena higienizacji zębów zależy od zakresu zabiegu, ilości kamienia nazębnego oraz ewentualnej konieczności wykonania dodatkowych procedur, takich jak głębokie czyszczenie zębów.
W przypadku zabiegu higienizacji cena może się różnić w zależności od lokalizacji gabinetu oraz doświadczenia personelu. Aby poznać dokładny koszt, warto zapoznać się z aktualnym cennikiem kliniki.
Zachęcamy do sprawdzenia cennika oraz umówienia wizyty w Exacto — regularne czyszczenie zębów z kamienia to inwestycja w zdrowie i piękny uśmiech.
Cennik usług
Higienizacja
Umów się na wizytę
*REGULAMIN rejestracji ONLINE




