———— 6 miesięcy gojenia ———————






*REGULAMIN rejestracji ONLINE






*REGULAMIN rejestracji ONLINE






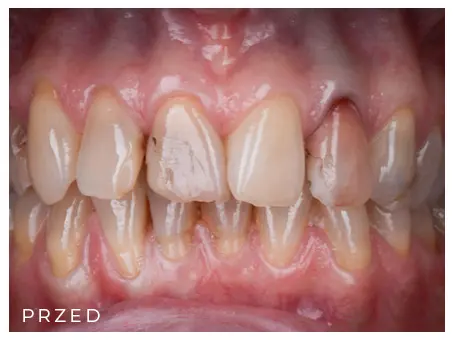
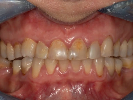
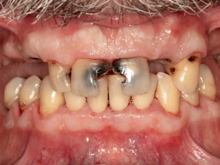
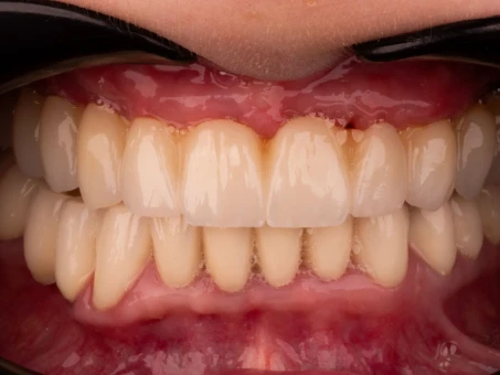
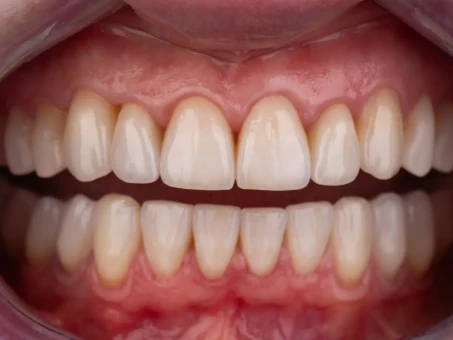
Metamorfozy uśmiechu to coś więcej niż tylko poprawa estetyki – to przemiana, która przywraca naszym Pacjentom pewność siebie, radość z codziennego uśmiechania się i komfort życia. W Exacto Clinic realizujemy kompleksowe metamorfozy uśmiechu, łącząc doświadczenie naszych lekarzy z nowoczesnymi technologiami diagnostycznymi i zabiegowymi. Dzięki współpracy całego zespołu specjalistów z różnych dziedzin – od ortodoncji, przez protetykę, implantologię, aż po stomatologię estetyczną – jesteśmy w stanie zaplanować i przeprowadzić pełną transformację dopasowaną do potrzeb każdego Pacjenta. Wykorzystanie oprogramowania Digital Smile Design pozwala Pacjentowi zobaczyć efekty leczenia jeszcze przed jego rozpoczęciem.
Każda metamorfoza rozpoczyna się od dokładnej diagnostyki, konsultacji oraz cyfrowego projektowania. Stawiamy na indywidualne podejście, najwyższą jakość materiałów i pełen komfort leczenia. Niezależnie od tego, czy problemem są przebarwienia, wady zgryzu, ubytki czy brak zębów – w Exacto Clinic stworzymy uśmiech, o którym marzysz. Zobacz nasze metamorfozy uśmiechu i przekonaj się, jak wiele może zmienić dobrze zaplanowane leczenie stomatologiczne.