Warning: Trying to access array offset on value of type bool in /home/klient.dhosting.pl/exacto/exactoclinic.pl-aiy7/public_html/wp-content/plugins/elementor/includes/base/widget-base.php on line 224
Warning: Undefined array key -1 in /home/klient.dhosting.pl/exacto/exactoclinic.pl-aiy7/public_html/wp-content/plugins/elementor/includes/base/controls-stack.php on line 696
Korona protetyczna Poznań– estetyczna i trwała odbudowa zęba
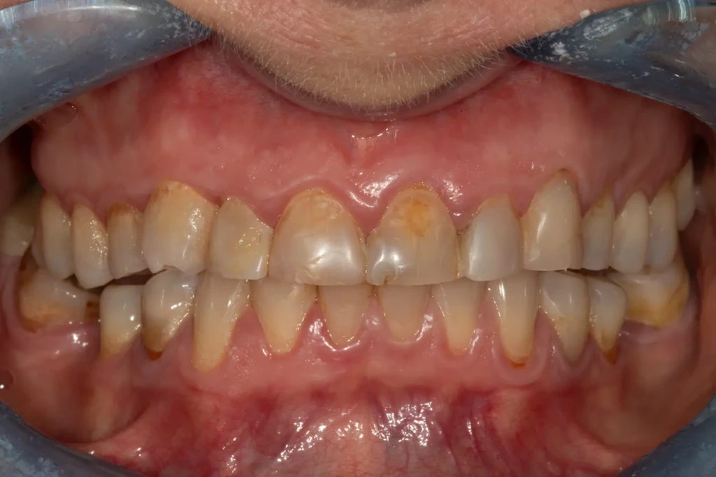
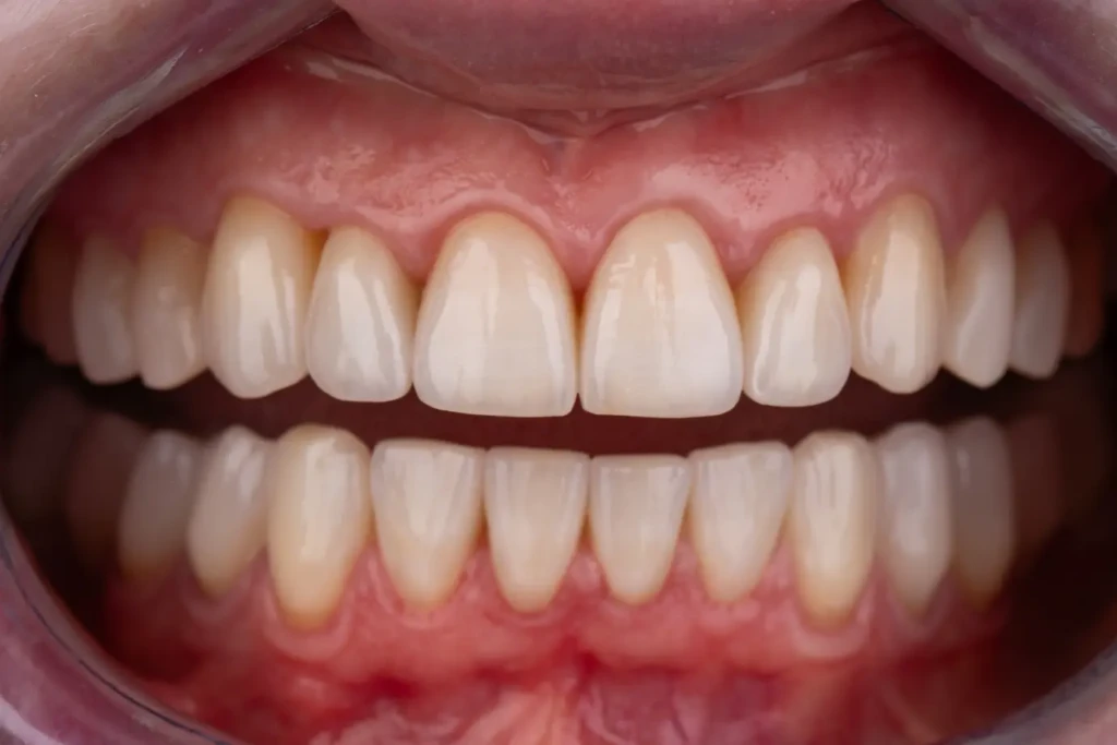
W Exacto Clinic w Poznaniu wykonujemy wysokiej jakości korony protetyczne, w tym koronki cyrkonowe i korony porcelanowe na cyrkonie. To idealne rozwiązanie, jeśli chcesz odbudować ząb po leczeniu kanałowym, naprawić pęknięcie lub wykonać metamorfozę uśmiechu.
Ile kosztuje korona protetyczna?
Cena korony cyrkonowej w Exacto Stomatologia Poznań objęta jest promocją tylko do końca tygodnia.
Cena promocyjna
2999 zł
cena regularna
3290 zł
W przypadku korony protetycznej cena obejmuje wszystkie wizyty niezbędne do jej wykonania — od pobrania skanów wewnątrzustnych po osadzenie gotowej pracy.


Pakiet diagnostyczny 499 zł
Przed leczeniem umów się na konsultację specjalistyczną w Exacto Stomatologia Poznań. Skorzystaj z jednego z naszych pakietów i zaoszczędź nawet połowę ceny!
W skład pakietu wchodzą:
✓ CBCT 3D
✓ skany wewnątrzustne 3D
✓ fotografie cyfrowe
✓ konsultacja ze specjalistą protetykiem
To idealne przygotowanie do wykonania korony na cyrkonie, korony porcelanowej, korony pełnoceramicznej na cyrkonie lub pełnej metamorfozy uśmiechu.
Metamorfoza uśmiechu – korona protetyczna jako klucz do nowego wyglądu
Łączymy protetykę, estetykę i technologię cyfrową, aby tworzyć uśmiechy, które wyglądają naturalnie przy zachowaniu najwyższej trwałości i estetyki.


Korony cyrkonowe czy porcelanowe?
Wybór odpowiedniej korony protetycznej zależy od oczekiwań estetycznych i wytrzymałości. Jeśli zależy Ci na maksymalnej trwałości, naturalnej przezierności i idealnym dopasowaniu, najlepszym rozwiązaniem będzie korona na cyrkonie — zarówno w odcinku przednim, gdzie liczy się efekt wizualny, jak bocznym, przy dużych siłach nacisku.
Zęby cyrkonowe, charakteryzują się naturalnym wyglądem i wysoką odpornością na czynniki zewnętrzne i ścieranie. Z kolei korona porcelanowa na cyrkonie to rozwiązanie premium, idealne do estetycznych rekonstrukcji. Każda korona ceramiczna na cyrkonie zapewnia naturalny efekt przy zachowaniu najwyższej możliwej estetyki.


Jak wygląda zakładanie koron na zęby w Exacto Stomatologia Poznań?
Nasi doświadczeni stomatolodzy w Poznaniu przeprowadzają cały proces zakładania koron protetycznych krok po kroku,z użyciem nowoczesnej diagnostyki 3D i precyzyjnych technik, tak aby uzyskać maksymalnie naturalny i trwały efekt odbudowy zęba. Cały proces wykonania korony na ząb jest bezbolesny i przewidywalny.